肤黑色素瘤是一种癌魔,病家术后一再还欲进行襄助治疗抑或靶向诊治。但日前,46岁的伊人(更名),经金域医学病理和实业瘤靶向RNAseq生死与共基因测序检测,一齐诊断出患上了一种黑色素瘤斑斑亚型后,卫生工作者却晓她,毫无展开更进一步的临床,只需在术后期查账检测。
本原,她患上的是兼备CRTC1::TRIM11各司其职基因的黑色素细胞肿瘤。这是老百年不遇的黑色素瘤亚型,英文文献环球仅报道41例,国内汉语文献未见简报。脚下的为数不多病例报导,该肉瘤假劣度可比低,患者相似方可有比较好的预计。
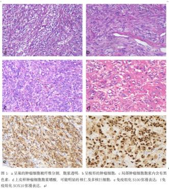
2022年6月,伊人发现自己后脚率先足趾近段背侧的肿物,这三年来不住地在变大。她很疑惑,三年前,左脚绝非旁来由地长出了一颗小肿物。现如今,肿物愈发大,伊人控制找医生看一下子。为甄别其良歹,诊治医生将术后切下来的组织样书送至金域医学,做病理反省。病理与免疫组化的结果显示该肿物有2种可能性,一期是透剔细胞瘤子(CCS),一个是皮层黑色素细胞肉瘤(CMCTC)。
一面,CCS免疫组化染色剖示S100、HMB-45、MelanA和SOX10呈阳性。CCS富有EWSR1基因重排特色,生死与共伴侣基因以ATF1(90%的病例)、CREB1或CREM为主。双边由此RNA测序、RT-PCR/第一手测序跟金光原位杂交(FISH)成员技能可辨挺有必备。
单方面,皮层黑色素细胞肿瘤不同亚型间造型和免疫组化特点明明重合,辨明死去活来真贫。
怎么办?金域医学向治病提出建议:加做积极分子检测门类,确定基因分型。经病家许后,金域为其提供了实体肿瘤息息相关人人皆知呼吸与共基因靶向RNA测序检测(130基因)检测服务。这是国内百年不遇的针对性实业瘤靶向呼吸与共基因检测技巧。其国本用NGS测序晒台,掩盖130个患难与共基因,应用新型的生信睡眠疗法拓展呼吸与共鉴定,得以发觉肉瘤中的已知和新发同舟共济摇身一变。
检测结实窥见:伊人患上的是领有CRTC1::TRIM11患难与共基因的肌肤黑色素细胞肿瘤。这是近日来新报导的十二分希世二类肌肤黑色素细胞瘤子,目前英文文献大地仅报道41例,国内汉语言文献未见报导。这类肉瘤装有坡度低劣的特征。鉴于恶性品位比较低,瘤子切片后,她只内需时限排查即可,帮助病员刨了不必要的医治。
透剔细胞肿瘤与其说他分型的黑色素瘤恶性水平都较高,如其确诊失实会致使病秧子此起彼伏内需开展谬误性的治病,包括但不限于催眠、靶向等,翻来覆去会充实病包儿的经济负担和精神压力。出于CRTC1::TRIM11呼吸与共基因的皮层黑色素细胞瘤子是一种要命稀世的行时黑色素瘤,很善被医疗大意失荆州。本次新发现,也在提拔医疗,当CMTCT与赋有更具侵袭性的文字学行事的CCS和PDM鉴别诊断手头紧时,何尝不可着想CRTC1::TRIM11呼吸与共基因检测,管保精准医治。
上海长征医院神经外科副主治医生表示:黑色素瘤并不久违,以皮肤黑色素瘤多见,得以原发或继发于统揽颅脑在内的过江之鲫部位,只管对其研讨较比深入,但完好无恙诊疗效能并不煞是佳。因而,歹心黑色素瘤的早期诊断和诊疗极其重要。怀有CRTC1::TRIM11融为一体基因的肌肤抗菌素细胞瘤好生稀罕,该病例的光学行为与透剔细胞肉瘤等表现两样,仅通过见怪不怪病理确诊较比困苦,需粘结分子病理确诊,专诚是RNA呼吸与共基因检测。金域医学并且有了病理与积极分子阳台等综述阳台,可以更好地开展粘连诊断,这于显然确诊、判明预后和医疗医治赋有最主要含义。
打铁趁热临床技能的前行及中西药的研发,肿瘤的治疗已进村了一个多阳台八方支援确诊的新时代,上述案例也证验,单纯寄予单技能晒台有必定的深刻性,必须将风俗人情病理构成胆囊炎理,综上所述判定才识更好受助病号诊断与指点此起彼落的医疗。金域医学作为一家富有多楼台集锦诊断力量的医学播音室,持有举国最大的病理郎中团组织,配置有630位病理郎中,并所有正式的瘤子病理确诊、报告解读的正儿八经团体,续建有最前沿、面面俱到的成员检测平台,力所能及更好的助力医疗,为肿瘤药罐子提供更准儿、更上档次的检测服务。
创业项目群,学习操作 18个小项目,添加 微信:923199819 备注:小项目!
如若转载,请注明出处:https://www.zodoho.com/119441.html
