尿道填充剂 (UBA) 是一种微创治疗方法,可用于治疗其他尿失禁手术后的原发性或复发性 SUI。
UBA 于 20 世纪初首次推出,在成分、作用机制和递送方法方面不断发展。
在这里,我们讨论 UBA 使用的适应症、注入的程序方面以及历史和当代 UBA。
作用方法
UBA 用于治疗压力性尿失禁 (SUI)内在括约肌缺陷 (ISD) 患者的尿道填充剂 (UBA),这是一种非常弱的尿道闭合机制 [ 1 ]。UBA 可以经尿道或通过尿道周围组织注射,从而局部扩大尿道表面积并增加传递至近端尿道的压力 [ 2 ]。尿道的膨胀改善了尿道接合和尿道出口阻力,防止尿液渗漏。注射 UBA 也可能会增加功能性尿道长度 [ 3 ]。
UBA 可由生物或合成材料合成。生物 UBA 由来自自体、同种异体或异种组织的脱细胞膜组成 [ 4 ]。合成 UBA 分为颗粒状或非颗粒状。颗粒状 UBA 由悬浮在可吸收凝胶载体中的微球组成。随着凝胶随着时间的推移被重新吸收,周围的宿主组织与剩余的颗粒结合,形成一个庞大的纤维化胶囊。颗粒的直径必须至少为 80 μm,以防止从原始注射部位迁移 [ 5 , 6]. 非颗粒 UBA 由均质、不可吸收的凝胶制成;对于这些药剂,大部分是由薄纤维网络形成的,这些网络形成以将注射的凝胶锚定到宿主组织 [ 5 ]。
尽管基于它们的组成,它们的作用机制存在关键差异,但理想的 UBA 具有相似的关键特征。对于成功支持尿道周围组织重建和增强的 UBA,它应该易于注射、不可吸收、无毒且无免疫原性。UBA 还应该是无细胞的、非迁移的,并且诱导最小的纤维化和钙化[ 7、8 ]。
患者选择和适应症
UBA 通常用于继发于 ISD 的 SUI 患者,ISD 定义为尿动力学上腹部漏气点压力小于 60 cm H 2 O。理想的候选人还应该没有尿道过度活动和特发性逼尿肌收缩 [ 9 ]。UBAs 已被证明对每天 SUI 发作少于 2.5 次的女性和 60 岁及以上的女性最有效。UBA 在老年女性中的疗效可能归因于较低的基线活动水平以及通过增加括约肌肌节长度来改善括约肌功能 [ 10 ]。
尽管 UBA 在治疗伴有尿道过度活动的 SUI 方面不如金标准尿道中段吊带 (MUS) 有效,但它们具有更有利的副作用特征并且有许多适应症 [ 11 ]。对于继发于合并症、年龄、严重肥胖或无法停止抗凝的不适合手术的患者,可以考虑使用 UBA。UBA 可以提供给希望未来怀孕的育龄妇女,以及那些希望避免需要全身麻醉的手术但接受较低治愈率的妇女 [ 12 ]。UBA 也可用于轻度 SUI、膀胱排空不良的 SUI,或者如果 SUI 仍然存在,则作为其他止尿失禁程序的辅助手段[ 9、12 ]]. UBA 注射的禁忌症包括活动性尿路感染 (UTI) 或对所选填充剂有过敏反应史 [ 12 ]。
程序方面和注入技术
UBA 可以在办公室环境或手术室中的镇静或局部或全身麻醉下注射 [ 13 ]。为了进行注射,传统上将患者置于背部截石位。生殖器以无菌方式准备和覆盖。局部麻醉剂或利多卡因可以经尿道沉积或注射到尿道粘膜下层。建议从业者根据当地抗生素谱和既往患者尿液培养给予单剂量预防性抗生素 [ 14 ]。UBA 应沉积在靠近膀胱颈的近端尿道粘膜中[ 15、16、17 ]。已经描述了三种主要的注射方法。
经尿道注射
经尿道注射涉及通过膀胱镜的工作通道植入 UBA(图14.1a)。经尿道方法允许临床医生在直视下进行注射并选择精确的植入位置。从业者还可以看到尿道接合,可能会减少所需填充剂的量。为获得最佳接合,应通过膀胱镜在 3 点钟和 9 点钟或 6 点钟位置进行注射 [ 18 ]。环周尿道分布和近端尿道注射与最佳短期成功率相关 [ 19 ]。

( a ) 经尿道注射技术,其中用于输送尿道填充剂的针头通过膀胱镜的工作通道前进。( b ) 通过将注射针头直接放置在尿道周围区域来进行尿道周围注射填充剂的技术。(由BioRender.com创建)
尿道周围注射
尿道周围注射涉及将 UBA 直接放置在尿道周围区域的尿道粘膜中(图14.1b)。与经尿道方法相比,尿道周围注射具有一定的优势,包括减少粘膜渗漏和出血 [ 20 ]。然而,尿道周围注射与急性尿潴留的风险较高相关,据推测这是由于使用较大体积的填充剂引起的,因为可能无法直接观察[ 20、21 ]。
设备引导注射
一些 UBA 是通过特制的分配器存放的。Macroplastique? 植入系统包含一个放置在尿道中至膀胱颈水平的注射装置,当尿液流过该装置的中央通道时可识别(图14.2a)。临床医生将设备向远端撤回 1 厘米。然后通过植入装置将针放置在尿道粘膜的 2、6 和 10 点钟位置 [ 17 ]。

设备引导的注射分配器。( a ) Macroplastique? 植入系统包含一个注射装置,该装置被放置在尿道中至膀胱颈的水平,以便最佳定位注射部位 [ 90 ]。( b ) Bulkamid? 可旋转护套在直视下通过尿道前进,之后临床医生可以进行注射 [ 15 ]
Bulkamid? 通过尿道镜注射,该尿道镜包含一个零度透镜和用于可视化的光绳(图14.2b)。在 6 点钟位置将一根专用针插入粘膜下层 1 厘米。额外的注射放置在 2 点和 10 点或 3 点、9 点和 12 点。每次粘膜下注射后,从业者都应观察气泡的形成 [ 15 ]。
类似地,Urolastic? 通过装有涂药器的分配枪给药,该涂药器放置在尿道中部。然后在 2、5、7 和 10 点钟位置进行注射以获得最佳尿道接合。如果在咳嗽测试后出现持续泄漏,可以在 3 点或 9 点钟区域放置额外的沉积物 [ 16 ]。
术后建议和发现
从业者应在术后测量所有患者的 PVR [ 14 ]。PVR 大于 100-150 ml 的患者可能需要使用 10-12 French Foley 导管进行单次导尿。建议使用较小的导管,以免取代最近注射的填充剂。如果尿潴留持续存在,应教导患者进行清洁间歇导尿。如果在全身麻醉 [ 15 , 16 ]下进行,患者可能会在 24 小时后恢复工作;如果在局部麻醉下进行,患者可能会在同一天恢复工作。手术后通常需要少量(如果有的话)止痛药。
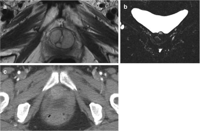
值得注意的是,膨胀剂可以在计算机断层扫描 (CT) 或磁共振成像 (MRI) 上看到,并且可能与尿道肿块混淆。有些也是不透射线的(Coaptite、Durasphere),在肾脏、输尿管和膀胱 X 射线 (KUB) 上可能被误认为是膀胱结石(图14.3)。最近的一项回顾性研究显示,尿道周围填充剂在 SUI 患者中偶尔会被误诊 [ 22 ]。在这项研究中,尿道检查结果很少在腹部或盆腔影像学解释中提及。在提及它们的罕见病例中,超过 60% 的患者将膨出物误诊为泌尿生殖系统病变,例如盆腔肿块或尿道憩室 [ 22 ]。

在各种成像方式上识别的 UBA 很容易被误解。( a ) 胶原填充剂的轴向磁共振成像,在射线照相读数中得到正确解释。( b ) 胶原填充剂的冠状核磁共振成像,放射学解释为“可能的尿道憩室”。( c ) Macroplastique? 膨胀剂的轴向计算机断层扫描成像,其在射线照相学上解释为“软组织衰减增加”。(图片a – c由 Anne Cameron MD 提供)
注射方法比较
已经描述了与每种注射方法相关的优点和缺点,但没有证据表明一种方法在临床成功率方面优于另一种方法。一项比较经尿道 ( n=24) 和尿道周围 ( n=21) 胶原蛋白注射的研究表明,六个月后在治愈、症状改善或并发症发生率方面没有统计学上的显着差异。然而,与尿道周围组相比,经尿道注射的胶原蛋白量分别较低(4.7 对 10.1 毫升)[ 21 ]。
对 40 名患有 SUI 或混合性尿失禁 (MUI) 的女性进行的分析证实了这些结果,这些女性被随机分配接受经尿道或经尿道注射葡聚糖共聚物。在 1、3、6 或 12 个月时,干燥率或主观平均症状改善没有显着差异。SUI 的主要原因(ISD 与尿道过度活动)与临床结果没有显着关系。重要的是,与经尿道组相比,尿道周围组的尿潴留发生率显着更高(分别为 30% 和 5%)。虽然总体 UBA 注射量没有差异,但经历尿潴留的尿道周围组患者的填充剂沉积量明显多于经尿道组患者(5.1 对 3.4 毫升)[20 ]。
女性尿道填充剂总结:安全性和有效性
病史
表14.1总结了历史 UBA 。
硬化剂
鱼肝酸钠是一种硬化剂,是第一个有记载的 UBA。Murless 于 1938 年首次描述,将鱼肝酸钠注射到阴道前壁以刺激尿道周围组织形成疤痕,以防止尿道过度活动。虽然有些成功,但随后出现了一些严重的不良反应,包括肺栓塞和心脏骤停[ 23、24 ]。1963 年,Sachse 将另一种硬化剂 granugenol 油或 Dondren 注射到女性和男性的尿道中。尽管患者确实经历了一些症状改善,但一些患者出现了肺栓塞和尿道脱落 [ 25 ]。
聚四氟乙烯 (Teflon?)
聚四氟乙烯或 Teflon? 包含大小从小于 50 μm 到 300 μm 不等的微粒 [ 26 ]。它曾在 1970 年代和 1980 年代使用,成功率高达 75% [ 27 ],但由于与粒子迁移到远处部位相关的严重并发症及其致癌潜力 [ 23、28 ] ,从未在美国获准使用。此外,还有一些关于挤压、尿道周围脓肿、尿道憩室和肉芽肿形成的报告[ 23、29 ]。
自体脂肪
早在 1989 年,几个小组就试验了从腹壁采集的自体脂肪经尿道周围注射 [ 30 ]。由于其易于获取和生物相容性,被认为是 UBA 的合适材料,一项随机双盲试验比较了自体脂肪或生理盐水安慰剂的尿道周围注射,但未能证明治愈率存在显着差异。一名患者甚至因肺脂肪栓塞而死亡 [ 31 ],这进一步阻碍了其作为 UBA 的使用。自体脂肪移植物的耐久性有限,因为移植物会在六个月内损失高达 55% 的体积 [ 32 ]。
戊二醛交联 (GAX) 胶原蛋白 (Contigen?)
1993 年,磷酸盐缓冲盐水中的 GAX 牛胶原蛋白,作为 Contigen?(CR Bard,默里希尔,美国新泽西州)销售,被美国食品和药物管理局 (FDA) 批准作为 UBA。初始症状改善率范围为 68% 至 90%,通常在大约注射3次后,但会随着时间的推移而下降 [ 33、34 ]。由 95% 的 I 型胶原蛋白和 1-5% 的 III 型胶原蛋白组成,接受 Contigen 注射的女性需要在手术前 30 天进行皮肤测试,因为它的抗原性会导致 4% 的患者出现过敏反应。其他不良事件包括 UTI、血尿、新发尿急、关节痛、肺栓塞和无菌脓肿形成 [ 35 ]。Contigen 于 2011 年被其制造商停产。
乙烯乙烯醇(Uryx?、Tegress?)
乙烯乙烯醇 (EVA) 是悬浮在二甲基亚砜 (DMSO) 中的共聚物,也称为 Uryx?(Genyx Medical, Inc., Aliso Viejo, CA/CR Bard, Murray Hill, NJ, USA)或 Tegress?(CR Bard ,默里山,新泽西州,美国)。EVA 于 2004 年被 FDA 批准用作 UBA。当注射并暴露于体温下的血液或细胞外液时,DMSO 溶解,EVA 形成海绵状物质,形成尿道体积 [ 36 ]。与胶原蛋白注射相比,EVA 注射具有更高的治愈率和症状改善率 [ 37 ]。然而,由于包括严重尿道糜烂和瘘管形成在内的多种不良反应,它最终于 2007 年退出市场 [ 38 ]。
含透明质酸的聚糖酐(Zuidex?、Deflux?)
Zuidex?(Q-Med AB, Uppsala, Sweden)或 Deflux?(Oceana Therapeutics Inc., Edison, New Jersey, USA)是含有悬浮在透明质酸中的葡聚糖微球的凝胶。随着透明质酸凝胶的溶解,微球会保留四年,促进结缔组织向内生长。这些药物通常用于并批准用于儿童膀胱输尿管反流的内窥镜治疗。
一项针对 142 名接受 Zuidex 注射的侵入性治疗初治 SUI 患者的多中心研究表明,一年后,阳性反应为 77%,定义为激发试验泄漏减少≥50%。24 小时垫重测试和每日失禁发作次数也显着减少。大多数不良事件是短暂的,包括尿潴留、UTI、注射部位反应、尿急、阴道不适、排尿困难、疼痛、假性囊肿形成和注射部位感染 [ 39 ]。
随后的一项非劣效性试验比较了 SUI 患者的结局,这些患者被随机分配接受尿道中段注射 Zuidex(n=227)或在膀胱颈注射 Contigen( n=117)。那些接受了 Contigen 注射的人有更高的干反应率和阳性反应率,也被定义为激发试验泄漏减少 ≥ 50%。尽管两组的尿潴留率相同 (28%),但 Zuidex 组出现了更多并发症,包括无菌脓肿、注射部位肿块和假性囊肿形成 [ 40 ],导致其作为 SUI 的 UBA 停止使用。
当代 UBA
表14.2总结了当代 UBA 。
| 尿道填充剂 | 商品名称 | 作品 | 作用机制 | 粒径 | FDA 批准年份 |
|---|---|---|---|---|---|
| 颗粒剂 | |||||
| 碳包锆 | Durasphere? | 2.8% β-葡聚糖水凝胶载体中的碳包覆锆颗粒 | 水凝胶会随着时间的推移而降解,留下颗粒以形成体积 | 212 至 500 微米 | 1999 |
| 羟基磷灰石钙 | 钴钛? | 羧甲基纤维素凝胶载体中的羟基磷灰石钙微球 | 75 至 125 微米 | 2005年 | |
| 交联聚二甲基硅氧烷 | 巨塑? | 聚乙烯吡咯烷酮水凝胶载体中的交联聚二甲基硅氧烷弹性体颗粒 | 110 微米 | 2006年 | |
| 非颗粒剂 | |||||
| 猪胶原蛋白 | Permacol? | 交联猪真皮 | 注射的胶原蛋白基质与宿主组织和血管整合 | 不适用 | 2004年 |
| 聚丙烯酰胺水凝胶 | Bulkamid?、Aquamid? | 含有 97.5% 非热原水和 2.5% 交联聚丙烯酰胺的水凝胶 | 被巨噬细胞和巨细胞侵入的水凝胶,允许与宿主组织整合 | 不适用 | 2020 |
| 聚二甲基硅氧烷 | 尿塑? | 乙烯基二甲基封端聚二甲基硅氧烷聚合物、四丙氧基硅烷交联材料和铂二乙烯基四甲基硅氧烷络合物催化剂 | 以液体形式注射,硬化并包裹在疤痕组织中 | 不适用 | 待办的 |
猪胶原蛋白 (Permacol?)
Permacol?(Covidien,Gosport,英国)来源于交联猪真皮。在加工过程中,细胞、DNA 和 RNA 以允许胶原蛋白基质保留其微观结构的方式被去除 [ 41 ]。基质类似于人体真皮,允许与宿主组织和血管整合。与 Contigen 不同,它不需要在植入前进行过敏测试 [ 42 ]。有关 Permacol 疗效的数据主要限于一项试验,该试验将患有 SUI 的女性随机分配接受注射 Permacol(n=25)或 Macroplastique(n=25). 注射后六周,Permacol 患者的干燥率略高(60% 对 41.6%)。在六个月时,62.5% 的 Permacol 患者保持干燥,而 37.5% 的 Macroplastique 患者保持干燥。此外,更少的 Permacol 患者经历了短暂的术后尿潴留(8% 对 12%)[ 42 ]。
羟基磷灰石钙 (Coaptite?)
Coaptite?(Bioform Medical Inc., San Mateo, California, USA)是一种合成的 UBA,由悬浮在羧甲基纤维素凝胶载体中的羟基磷灰石钙微球组成。微球颗粒的大小范围为 75 至 125 μm [ 43 ]。凝胶最初提供膨胀效果,但随着时间的推移会降解,从而使天然组织在颗粒周围生长,最终也会溶解 [ 43 ]。三个月后,钴钛矿沉积物的体积减少了约 40%,保留更多体积的患者更有可能出现持续的症状改善 [ 44 ]。
支持 Coaptite 疗效的主要数据来自多中心前瞻性随机对照试验。在这项非劣效性研究中,没有尿道过度活动的继发于 ISD 的 SUI 女性接受了 Coaptite 或 Contigen 注射,这是发表时的金标准。一年后,患者成功率没有显着改善,定义为至少提高了一个 Stamey 等级,有利于 Coaptite 组(63.4 对 57.0%)。Coaptite 和 Contigen 组的一年治愈率(39% 对 37%)和 24 小时垫重量至少减少 50% 的参与者百分比(62% 对 54%)也没有差异. 此外,Coaptite 组中更多的患者只需要单次注射 [ 43 ]。
尽管 Coaptite 组出现急迫性尿失禁的风险显着降低(5.7% 对 12%),但在大多数与手术相关的轻微不良事件(包括排尿困难或尿潴留)方面,两组之间没有差异。Coaptite 组报告了两种主要并发症,特别是阴道壁侵蚀到远端尿道和三角区下方材料的剥离。这些严重事件归因于注射技术和对宿主组织造成压力的大颗粒尺寸 [ 43 ]。据报道,Coaptite 的其他罕见副作用包括尿道脱垂和需要手术矫正的肉芽肿形成 ]。
碳涂层锆 (Durasphere?)
Durasphere?(Carbon Medical Technologies, St. Paul, Minnesota, USA)包含悬浮在可溶性 2.8% β-葡聚糖水凝胶载体中的不可降解碳涂层锆颗粒。相对较大的颗粒尺寸范围为 212 至 500 μm [ 47 ],由于阻力增加,这会使注射变得更加困难 [ 5 ]。它于 1999 年获得 FDA 批准用作 UBA [ 48 ]。
在一项多中心试验中,Durasphere 被证明具有与胶原蛋白注射等效的功效。该研究将 355 名继发于 ISD 的 SUI 女性随机分配接受 Durasphere 或牛胶原蛋白。临床医生在注射过程中使用的 Durasphere 体积明显低于胶原蛋白(分别为 4.83 和 6.23 毫升)。注射后一年,护垫重量或失控等级没有改善。一年和两年后,在骨盆 X 光片上没有观察到颗粒迁移的证据 [ 48 ]。然而,在 24 个月及更长时间后,Durasphere 的客观效益减少了 [ 49]. 关于不良事件,Durasphere 组的患者出现明显更多的尿急和短暂的急性尿潴留。否则,并发症概况相似 [ 48 ]。虽然大多数不良反应是自限性的,但其他严重并发症包括颗粒迁移到淋巴结组织 [ 50 ]、尿道周围脓肿形成和尿道脱垂 [ 51 ],以及阴道粘膜可见染色/纹身,因为该产品已被报道黑色。
Durasphere 还与 Contigen 结合使用。在一项比较接受 Contigen/Durasphere 联合注射 ( n=33) 和单独注射 Contigen ( n=33) 的女性的研究 中,两周后联合组的治愈率明显更高(72.7% 对 39.2%)。益处并未持续,六个月后的干燥率在组合组和单独使用 Contigen 组之间相当(33.3 对 29.4%)。两组之间对后续止尿失禁程序的需求没有差异 [ 52 ]。
交联聚二甲基硅氧烷 (Macroplastique?)
Macroplastique?(Cogentix Medical,奥兰治堡,纽约,美国)是一种有机硅聚合物,含有悬浮在聚乙烯吡咯烷酮水凝胶载体中的交联聚二甲基硅氧烷弹性体颗粒。注射后,Macroplastique 沉积物被包裹在纤维蛋白胶囊中,该胶囊被胶原蛋白渗透。水凝胶由肾脏吸收和排泄 [ 53 ]。凝胶载体溶解后,不可降解的颗粒(大小约为 110 μm)仍保留在原位 [ 5 , 54 ]。
一项试验描述了证明 Macroplastique 疗效的最令人信服的数据,该试验对 247 名继发于 ISD 的 SUI 女性进行了随机分配,她们接受经尿道注射 Macroplastique 或 Contigen。在 12 个月时,Macroplastique 组的干燥率明显高于 Contigen 组(36.9% 对 24.8%)。Macroplastique 队列中更多的患者也至少改善了一个 Stamey 等级(61.5% 对 48%)。尽管彼此之间没有显着差异,但两个队列均显示尿液流失量较基线有所减少。组间注射次数和体积也相当。两组的治疗相关不良事件发生率相似。最常见的副作用包括 UTI、下尿路症状、尿潴留和植入部位疼痛。54 ]。经过两年的随访,84% 的患者报告说他们的治疗持续改善,其中 67% 的患者是干燥的。失禁生活质量 (I-QoL) 评分和平均垫重也较基线有显着改善。随访期间没有发生与治疗相关的不良事件 [ 53 ]。
随后的一项系统回顾结合了 958 名接受 Macroplastique 注射的 SUI 女性的数据,表明短期、中期和长期的干燥率分别为 43%、37% 和 36%,改善率分别为 75%、73%、和 64%。中位再注射率为 30%,其中 63% 的患者报告 SUI 症状有所改善。不良事件都很轻微,例如短暂性尿潴留、急迫性尿失禁、UTI、排尿困难和血尿 [ 55 ]。然而,尽管总体并发症情况良好,但描述了许多罕见和严重的并发症,包括继发于疑似免疫反应的挤压、膀胱颈和尿道侵蚀以及尿道下、阴道和膀胱肿块形成[ 56、57、58, 59 , 60 ]。其他几项研究已经证明 Macroplastique 的持久反应,两到三年后治愈率从 47% 到 49% 不等。虽然许多患者需要不止一次注射,但大多数客观改善率在六个月后保持稳定。经过数年的随访,日垫重量也持续下降 [ 61 , 62 , 63 ]。
Macroplastique 也可用于子宫切除术后的 SUI 患者。在一项针对 24 名接受根治性子宫切除术并导致 SUI 的宫颈癌患者的研究中,Macroplastique 注射与一年后 42% 的干燥率和 42% 的改善率相关。失败与尿道过度活动有关 [ 64 ]。
聚丙烯酰胺水凝胶(Bulkamid?、Aquamid?)
Bulkamid? 和 Aquamid?(Contura International A/S,Soeborg,丹麦)源自一种不可降解的水凝胶,其中含有 97.5% 的非热原水和 2.5% 的交联聚丙烯酰胺 [ 7 ]。聚丙烯酰胺水凝胶的粘弹性、亲水性使其能够与周围的宿主组织基质交换水分子、营养物质和废物 [ 5 ]。几年后,水凝胶被巨噬细胞和巨细胞侵入,然后被细纤维和血管的永久网络所取代 [ 65 ] 以防止迁移 [ 66 ]。
Bulkamid 的作用已在许多情况下进行了研究,包括 SUI、混合性尿失禁和易受伤害的患者。关于 SUI 和 MUI 的治疗,对大多数观察性研究的系统回顾显示,Bulkamid 注射后失禁发作次数、漏尿量和生活质量均有所改善。总再注入计算为 24.3%。并发症大多是轻微的,包括注射部位疼痛、尿路感染、血尿和短暂性急性尿潴留 [ 67 ]。罕见的严重不良事件包括注射部位脓肿形成和尿道粘膜破裂 [ 67 , 68 , 69]. 唯一纳入的随机双臂研究是一项多中心试验,证明聚丙烯酰胺水凝胶在治疗 SUI 或压力为主的 MUI 方面非劣于 Contigen。注射后一年后,聚丙烯酰胺水凝胶和 Contigen 组的治愈/改善率分别为 77.1% 和 70%。队列之间的并发症发生率没有差异,主要局限于轻微、短暂的下尿路症状、尿潴留和新发尿失禁。聚丙烯酰胺水凝胶组仅报告了一种严重的治疗相关不良反应,即短暂性血尿 [ 8 ]。在事后分析中,60 岁以上女性的治疗有效率为 90%,治愈率为 38%,而年轻女性的治愈率仅为 13% [ 10 ]].
除了改善尿失禁外,Bulkamid 还被证明对性活动有积极影响。Leone Roberti Maggiore 等人。描述了 Bulkamid 注射液对 29 名 SUI 女性性功能的影响。经过一年的随访,23 名之前性活跃的患者中 100% 能够在注射后恢复性活动。这些女性报告性交时失禁或对失禁的恐惧减少,性欲、高潮和性生活满意度得到改善。其余六名非性活跃女性也能够重新建立性活动 [ 70 ]。
Bulkamid 也已成功用于许多特殊人群,包括八十多岁的老人和放疗后患者 [ 71 , 72 ]。在一组 20 名平均年龄为 84.5 岁的八旬老人中,Vecchioli-Scaldazza 等人。发现在注射 Bulkamid 两年后,通过咳嗽压力测试和需要的护垫数量显着减少了尿液流失。生活质量评分和尿动力学参数,包括腹漏点压力、平均尿道闭合压力和尿道长度也得到改善 [ 72]. Krhut 等人。对 46 名有妇科癌症病史的女性给予 Bulkamid,并在接受和不接受盆腔放疗的情况下导致 SUI。注射后,放射组和非放射组的治愈率分别为 25% 和 36.4%,并且没有报告严重不良事件 [ 71 ]。总而言之,这些发现强调了聚丙烯酰胺水凝胶如何成为一种有用的工具,可以将易受尿失禁患者的风险降到最低。
聚二甲基硅氧烷 (Urolastic?)
Urolastic (Urogyn BV, Nijmegen, The Netherlands) 是一种合成化合物,含有乙烯基二甲基封端的聚二甲基硅氧烷聚合物、四丙氧基硅烷交联材料和铂二乙烯基四甲基硅氧烷络合物催化剂。添加二氧化钛辐射不透性填充剂 [ 73 ]。与 Macroplastique 不同,Urolastic 沉积物不含任何颗粒,并以液体形式注射。一旦液体变硬,它就会被疤痕组织包围,并且不会随着时间的推移而降解、体积缩小或迁移 [ 74 ]。目前,Urolastic 仅获准在欧洲使用。
Urolastic治疗SUI的疗效和并发症概况已在一些小型系列文章中进行了描述[ 73、74、75、76、77 ]。扎伊达等人。报告了 20 名接受 Urolastic 注射的 SUI 女性,其中 35% 需要第二次注射。经过 12 个月和 24 个月的随访,分别有 68% 和 45% 的患者保持干燥。89% 的患者报告 12 个月后节制得到改善,两年后减少到 66% [ 74 , 77 ]。30% 的患者出现轻微并发症,包括血肿形成、尿潴留、性交困难或需要清除沉积物的阴道疼痛 [ 74 ]]. 在 24 个月时,随访分析中包括的 18 名患者中有 4 名因性交困难和不理想的干燥度而接受了植入物移除 [ 77 ]。同样,Futyma 等人。对 105 名患有原发性或复发性 SUI 的女性进行了 Urolastic 注射。12 个月后,主要和复发组的客观成功率(定义为阴性垫和咳嗽压力测试)分别为 71.4% 和 59.3%。总体回注率为 17%。10 名尿潴留患者中有 4 名需要植入物切除术 [ 75 ]。24 个月后,复发性 SUI 的治愈率为 22.4%,其中 32.7% 报告客观成功(治愈或改善)[ 76 ]。
Urolastic 还在医学上不适合手术的女性身上进行了试验。科瓦利克等人。评估了 Urolastic 尿道周围注射对 20 名被认为不适合 MUS 的女性的影响。五名患者由于持续性尿失禁需要第二次注射,其中三名患者需要从第一次注射中去除填充剂。注射后六个月,90% 的患者报告主观症状有所改善,65% 的患者咳嗽压力试验阴性。根据泌尿生殖器窘迫量表 (UDI-6) 和失禁影响问卷 (IIQ-7) 衡量,与健康相关的生活质量评分在所有领域都有显着改善。围手术期并发症包括血肿形成、疼痛和在需要切除的上皮表面注射 UBA。73 ]。
Urolastic 的长期成功似乎可与其他填充剂相媲美。在一项随访 6 至 24 个月的系统评价中,客观治愈率介于 32.7% 至 67% 之间,合并率为 57%。综合主观改善率为 84%。16.7%–35% 的研究队列需要第二次注射。合并并发症发生率为 36%,其中最常见的是尿急、排尿后残余量大于 150 毫升,以及暴露或糜烂 [ 78 ]。最终,多达 18% 的患者可能因持续性疼痛、暴露或糜烂而需要切除 Urolastic [ 79 ]。
UBA 的使用与其他防失禁程序的比较
管理 SUI 的实践因临床医生而异,因为没有公认的标准化算法。2017 年美国泌尿外科协会/泌尿动力学、女性盆腔医学和泌尿生殖系统重建 (AUA/SUFU) SUI 指南指出,在考虑手术治疗的 SUI 指数患者中,临床医生可以提供 UBA 以及合成 MUS、自体筋膜耻骨阴道吊带,或 Burch 阴道悬吊术。该指南还指出,除了耻骨后 MUS 和耻骨阴道吊带外,UBA 还可以提供给非指数 ISD 患者。没有关于这些治疗方案的试验顺序的建议,80 ]。同样,欧洲泌尿外科协会 (EAU) 2018 年尿失禁指南指出,对于希望接受低风险手术并了解她们可能需要重复注射的 SUI 女性,应提供填充剂 [ 81 ]。
UBA 在 SUI 手术管理决策树上的确切位置尚不清楚。这种模糊性可能是由于缺乏将 UBA 与其他止尿失禁程序进行比较的随机前瞻性研究 [ 82 ]。
在 2015 年的系统回顾和荟萃分析中,作者仅确定了三项比较 UBA 与其他止尿失禁程序的研究,其中只有两项是随机对照试验。分析得出结论,与其他抗尿失禁手术(包括耻骨阴道吊带、MUS、膀胱颈悬吊术和 Burch 阴道悬吊术)相比,UBA 与原发性和复发性 SUI 的客观复发率显着增加有关。UBAs 与较少的排尿功能障碍有关。然而,该荟萃分析的小规模和许多其他限制突出表明需要额外的比较数据 [ 82 ]。
最近,一项试验将 224 名原发性 SUI 女性随机分配接受无张力阴道胶带 ( n=111) 或聚丙烯酰胺水凝胶注射 ( n=113)。经过一年的随访,与接受聚丙烯酰胺水凝胶注射的患者相比,接受 MUS 的患者报告了更高的患者满意度评分和更高的干燥率(通过阴性咳嗽压力测试测量)(分别为 95% 和 66.4%)。两组中的女性都表现出改善的性功能和与健康相关的生活质量,特别是在身体和社会功能方面。然而,MUS 与较高的围手术期并发症和再次手术率相关 [ 11 , 83]. 因此,就这两种选择向 SUI 患者提供咨询很重要,因为一些患者可能愿意接受 UBA 的较低治愈率和 MUS 相关的较高并发症发生率之间的权衡 [ 84 ]。最终,需要更多的前瞻性数据将 UBA 与在不同患者环境中评估的其他止尿程序进行比较,以明确定义 UBA 在管理原发性和复发性 SUI 中的作用。
UBA 作为 MUS 失败后的补救程序
对于 MUS 失败后的理想抢救技术,目前还没有既定的金标准或共识 [ 66 ]。在国际泌尿妇科协会成员的一项调查中,UBA 被报告为无尿道过度活动患者的首选补救手术 [ 85 ]。尽管一些外科医生倾向于试用 UBA 来治疗吊带后复发性 SUI,但关于 UBA 作为 MUS 失败后复发性 SUI 挽救手术的有效性和耐久性的证据仅限于小型回顾性报告,并且缺乏高质量的证据。
一项包括 23 名在 MUS 失败后接受 Macroplastique 或 Durasphere 补救性注射的女性的研究表明,尽管 I-QoL 评分有所改善并且 92% 的人认为治疗有益,但仅 10 个月后治愈率为 34.8% [ 86 ]。同样,Dray 等人。检查了 73 名 MUS 植入后复发性 SUI 的患者,这些患者接受了 Macroplastique 或胶原蛋白的补救注射。平均注射 2.6 次后,71% 的患者报告症状改善,其中 24.7% 的患者 SUI 完全消退。在平均 39.5 个月后获得长期随访信息的 40 名女性中只有两名报告 SUI 完全解决,尽管密歇根失禁症状指数 (M-ISI) 的大多数领域都有显着改善 [ 18]. 在对 17 名在 MUS 失败后注射 2 ml Bulkamid 的女性进行的分析中,Clark 等人。报道了 42% 的再注射率(发生在初次注射后 10 至 46 个月之间),但感知获益率为 71% [ 87]. Zivanovic 等人。对 60 名在 MUS 失败后接受 1 至 3 ml Bulkamid 注射的难治性 SUI 或 MUI 患者进行了回顾性观察分析。1 个月后,93.3% 的患者治愈或症状改善,在 6 个月和 12 个月时分别略微下降至 88.3% 和 83.6%。最常见的不良事件是持续性急迫性尿失禁,在 1、6 和 12 个月后分别有 20%、16.7% 和 20% 的患者出现。其他不良事件见于少数患者,包括排尿功能障碍、UTI、新发尿急、血尿、注射部位撕裂伤和血肿 [ 66 ]。
只有一项分析直接比较了重复 MUS(n=98)与使用 Contigen、Coaptite 或 Macroplastique(n=67)作为 MUS 失败后的补救技术的 UBA。与重复 MUS 患者相比,接受 UBA 注射的患者在一年随访后失败的风险显着更高(分别为 38.8% 和 11.2%),尽管并发症发生率没有差异 [ 88 ]。
UBA 也被用作 MUS 移除后的抢救技术。罗德里格斯等人。评估了 70 名在切除失败的 MUS 后接受 UBA 注射和 Macroplastique 的女性。他们展示了 69% 的总体成功率、83% 的主观改善率和 78% 的垫使用率减少 [ 89 ]。虽然这些研究规模较小,但当用作辅助挽救手术或 MUS 移除后,多种类型的 UBA 似乎确实为许多女性提供了主观和客观的症状益处,尽管益处会随着时间的推移而减少并且可能需要重新注射。
结论
UBA 是泌尿科医师管理 SUI 的重要工具。它们对不适合手术或希望避免全身麻醉的女性特别有用。尽管与其他止尿失禁手术相比治愈率较低,但 UBA 表现出更有利的并发症特征。需要更多前瞻性随机数据来阐明 UBA 的最佳组成和长期结果。
Cite this chapter
Tabakin, A.L., Hartigan, S.M. (2022). Urethral Bulking Agents. In: Cameron, A.P. (eds) Female Urinary Incontinence. Springer, Cham. https://doi.org/10.1007/978-3-030-84352-6_14
创业项目群,学习操作 18个小项目,添加 微信:923199819 备注:小项目!
如若转载,请注明出处:https://www.zodoho.com/105316.html
